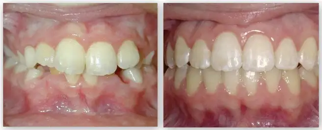
What Are Smile Shapers Clear Aligners?
Smile Shapers clear aligners are a discreet, comfortable orthodontic solution designed to straighten teeth without metal braces. Made from smooth, transparent plastic, these aligners are customized to fit snugly over your teeth and gradually shift them into alignment over time.
Ideal for teens and adults seeking a more subtle option for orthodontic care, Smile Shapers aligners are removable, nearly invisible, and created using advanced digital modeling for precision and comfort. Each set is worn for about two weeks before moving on to the next stage in your series — gently guiding your teeth toward their ideal position.
In Warner Robins, Smile Shapers have become an increasingly popular alternative for those who want a straighter smile without the look or feel of traditional braces.
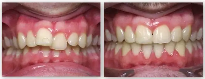
Treatable Cases with Smile Shapers
Smile Shapers are designed to treat a wide range of mild to moderate orthodontic issues. While not intended for extremely complex cases, they are a great solution for many common bite and alignment concerns.
Smile Shapers can address:
- Crowded teeth — When there isn’t enough space for teeth to align properly
- Gapped teeth — Small spaces between teeth that affect aesthetics or function
- Overbite — Upper front teeth that overlap lower teeth
- Underbite — Lower teeth that sit in front of upper teeth
- Crossbite — Teeth that don’t align properly when the mouth is closed
- Open bite — Upper and lower teeth that don’t touch when the mouth is shut
- Rotated or tilted teeth — Teeth that are turned or leaning out of position
If you’ve been told you’re not a candidate for braces or are looking for a less noticeable solution, Smile Shapers may be right for you.
How Do Smile Shapers Work?
The Smile Shapers system uses a series of custom-made aligners that gently shift your teeth over time. The process begins with a detailed digital scan or impression of your mouth, which is then used to plan each stage of your treatment.
Here’s how it works:
- Initial Consultation — A dental professional assesses your bite and overall oral health to determine if Smile Shapers are a good fit.
- Digital Imaging & Treatment Planning — Advanced technology is used to create a personalized treatment roadmap.
- Fabrication of Aligners — A series of aligners are custom-manufactured based on your treatment plan.
- Wear & Progression — Each set is worn for approximately 2 weeks, 20–22 hours a day, before switching to the next.
- Monitoring & Adjustments — Regular check-ins ensure progress is on track.
- Final Refinement & Retention — Once alignment is complete, a retainer helps maintain your new smile.
Smile Shapers work best when worn consistently and cared for properly, and most treatments are completed in 6 to 18 months, depending on the case.
Benefits of Smile Shapers Invisible Aligners
Choosing clear aligners like Smile Shapers comes with several advantages — especially for those who want a more flexible, discreet orthodontic experience.
- Nearly invisible appearance — Clear plastic makes them hard to notice during conversation or photos
- No food restrictions — Simply remove the aligners before eating or drinking
- Easy to clean — Removable trays simplify brushing and flossing
- Comfortable material — Smooth plastic reduces irritation often caused by metal brackets
- Fewer office visits — Most adjustments happen digitally between aligners
- Custom-fit technology — Advanced 3D planning ensures accuracy and predictability
Because they’re removable, Smile Shapers also allow patients to continue sports, performances, or other lifestyle activities with minimal interruption.
Smile Shapers Aligners Vs Invisalign
While both Smile Shapers and Invisalign offer clear, removable aligners for orthodontic treatment, there are some differences between the two systems. Both use digital scans and a series of aligners to gradually shift teeth, but Smile Shapers may be a more streamlined or affordable option for certain cases.
| Feature | Smile Shapers | Invisalign |
|---|---|---|
| Material | Clear plastic | Patented SmartTrack plastic |
| Treatable Cases | Mild to moderate | Mild to complex |
| Customization | Digitally scanned & mapped | Digitally scanned & mapped |
| Removability | Yes | Yes |
| Appearance | Nearly invisible | Nearly invisible |
| Cost | Often more affordable | May be higher depending on case complexity |
While Invisalign has a broader case range, Smile Shapers is ideal for patients seeking efficiency, comfort, and aesthetic appeal — especially in moderate alignment situations.
Our Smile Shapers Treatment Process
At Hayslip Center, our clear aligner process is designed for comfort, clarity, and long-term success. We take the time to assess your needs and provide a treatment plan that aligns with your goals and budget.
The process includes:
- A thorough exam and digital imaging
- Personalized aligner design
- Ongoing monitoring and support
- Post-treatment retainers to preserve your results
Our team in Warner Robins will walk you through every step, from the first scan to the final reveal of your new smile.
Start Your Smile Journey Today
Smile Shapers aligners offer a powerful combination of aesthetics, comfort, and control — all in a nearly invisible form. If you’ve been avoiding braces because of their look or inconvenience, clear aligners could be the solution that fits your lifestyle.
Whether you’re an adult looking to boost your confidence or a teen hoping for a subtle way to straighten your teeth, Smile Shapers can deliver beautiful results with minimal disruption.
Schedule a consultation today to find out if Smile Shapers are right for you — and take the first step toward a straighter, more confident smile.
